クリンチェック CBCT統合機能
歯冠・歯根および歯槽骨を含む3Dモデルを自動生成し、より詳細な治療計画を立案することができます。




CT情報を含めた治療計画の作成を実現
外科手術
補綴修復
拡大/抜歯
未萌出歯および埋伏歯を有する10代の症例


4種類の表示オプションを1つのプラットフォームに統合し、治療計画を強化


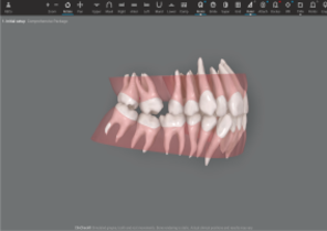
歯根と歯肉を表示


歯根のみ表示


歯槽骨を半透明にして歯根を表示


歯根と歯槽骨を表示


歯根と歯肉を表示


歯根のみ表示


歯槽骨を半透明にして歯根を表示


歯冠・歯根および歯槽骨を含む3Dモデルを自動生成し、より詳細な治療計画を立案することができます。




外科手術
補綴修復
拡大/抜歯
未萌出歯および埋伏歯を有する10代の症例

















