クラスⅡ不正咬合症例へのアプローチについて、本製品の詳細をみる


インビザライン® システムでの
成長期患者におけるクラスⅡ不正咬合の治療の可能性
オクルーザルブロックで下顎位を前方位に維持しつつ、歯牙移動を同時並行して過蓋咬合等の状態の改善を目指します。治療に要する装置の数を抑え、クラスⅡ治療と歯牙配列を同時並行できる目的の治療選択肢となる装置です。
構造的剛性と耐久性を考慮した設計で潰れや折れ、変形による緊急来院や修理のリスクの低減が期待できます。
快適な装着感を目指したインビザライン🄬 アライナーと同じSmartTrack™ 素材製なので、装着時間の遵守を期待できます。




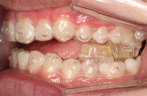
オクルーザルブロックの作用
① ソリッドブロックは、インビザライン・アライナーの咬合面にレーザー溶着されています。
② 前方位で咬合することで、オクルーザルブロック同士がかみ合い、顎位が維持されます。
③ 本装置による下顎の前方誘導と歯牙移動を同時並行し、重度過蓋咬合を伴う症例を含むクラスⅡ不正咬合を治療します。




適用対象範囲
「下顎前方誘導用オクルーザルブロック付きインビザライン® システム」は、重度過蓋咬合をはじめ、様々なタイプのクラスⅡ不正咬合の治療の選択肢として開発されました。適用の検討対象となる側貌タイプ:


Brachyfacial(短顔型):
側貌が「短く」、下顎角が小さく、オーバーバイトが深い


Mesofacial(中顔型):
側貌が「標準的または中間」で、オーバーバイトが深い




